¿Qué debo hacer si se me rompe un diente por accidente?
Apenas ocurra el traumatismo dental hay que esforzarse por mantenerse en calma

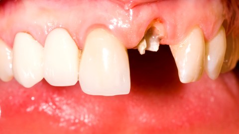
Crédito: shutterstock.com
Un traumatismo dental no debe ser motivo para accionar con pánico y desmesura. Debemos conservar la calma, mantener la razón y después actuar reflexivamente. Por eso, en este artículo especificaremos cómo actuar si sufrimos un traumatismo dental.
¿Qué hacer en caso de un traumatismo dental?
Si has sufrido un traumatismo dental lo primero que tienes que hacer es mantener la calma porque la histeria no es de mucha ayuda en estas situaciones.
Probablemente experimentes dolor o molestia y también una hemorragia leve o abundante en la zona afectada, pero debes permanecer tranquilo para así actuar correctamente.
Encuentra el fragmento de diente fracturado o roto para que puedas guardarlo. Lo mejor es que este fragmento sea guardado en saliva, leche o suero fisiológico. Y nomás puedas, enjuaga tu boca abundantemente con agua a temperatura ambiente.
Acciones según el tipo de fractura dental

Dependiendo del grado en que el diente se haya fracturado habrá una determinada secuencia de pasos para atender el traumatismo dental.
Si hablamos de una fractura dental parcial, deberás limpiar con cuidado el trozo de diente que se ha fragmentado y aplicar frío en la zona afectada para reducir la inflamación.
Si la fractura es total, limpia cuidadosamente el diente fracturado e intenta colocarlo nuevamente en su cavidad.
Bajo ninguna circunstancia deberás tocar la raíz del diente. Si has vuelto a colocar el diente, una forma de evitar que se mueva es morder una gasa estéril con cierto cuidado, atendiendo que el diente no sea tragado en el proceso.
Es indispensable reaccionar con rapidez ante los traumatismos dentales porque el tiempo que se pierde es directamente proporcional a la probabilidad de que el diente no pueda ser recuperado. Por eso estas recomendaciones se deben seguir como primeros auxilios mientras acudes al odontólogo.