window._taboola = window._taboola || []; var taboola_id = 'mycodeimpremedia-laopinion'; _taboola.push({article:'auto'}); !function (e, f, u, i) { if (!document.getElementById(i)){ e.async = 1; e.src = u; e.id = i; f.parentNode.insertBefore(e, f); } }(document.createElement('script'), document.getElementsByTagName('script')[0], '//cdn.taboola.com/libtrc/'+ taboola_id +'/loader.js', 'tb_loader_script'); if(window.performance && typeof window.performance.mark == 'function') {window.performance.mark('tbl_ic');}

Demencia frontotemporal: de qué se trata y cómo puede afectar aún a los jóvenes

La demencia frontotemporal (DFT) ha ganado atención después de que figuras como Wendy Williams y Bruce Willis revelaran sus luchas con la enfermedad, que afecta el comportamiento y el lenguaje

Demencia frontotemporal: de qué se trata y cómo puede afectar aún a los jóvenes

Entre m Crédito: Atthapon Raksthaput | Shutterstock

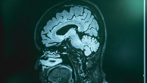
La demencia frontotemporal (DFT), una enfermedad devastadora que afecta partes críticas del cerebro responsable del comportamiento y el lenguaje, ha ganado prominencia recientemente después de que figuras destacadas de la televisión y el cine compartieran sus luchas personales con esta condición.

En un comunicado, los cuidadores revelaron que la famosa presentadora de un popular programa de entrevistas, Wendy Williams, fue diagnosticada con una forma inusual de demencia.

Williams, quien ha sido una figura influyente en la televisión durante décadas, se sometió a numerosas pruebas médicas en un esfuerzo por identificar la afección que estaba afectando su salud mental. Se unió a una lista creciente de celebridades que incluye al icónico actor Bruce Willis, quien también se enfrenta a los desafíos de la DFT.

La DFT, a menudo mal entendida y subdiagnosticada, se manifiesta principalmente en personas de entre 40 y 60 años, y puede resultar en cambios significativos en la personalidad, comportamiento impulsivo e incluso pérdida de la capacidad de comunicación. Los expertos comparan sus síntomas con trastornos de salud mental como la depresión o el trastorno bipolar, lo que dificulta aún más su diagnóstico temprano y preciso.

La Dra. Brenda Rapp, científica de la Universidad Johns Hopkins, ofreció una visión perspicaz sobre los signos reveladores de la enfermedad, explicando que “puedes estar haciendo cosas que molestan a la gente y realmente no entender por qué les molesta”.

A pesar de los avances en la comprensión de la enfermedad, las causas exactas de la DFT siguen siendo en gran medida desconocidas. Se cree que el daño a las neuronas desempeña un papel fundamental, con un componente genético que aumenta el riesgo de desarrollar la enfermedad en algunos individuos.

Sin embargo, la mayoría de los pacientes diagnosticados no tienen antecedentes familiares de demencia, lo que plantea interrogantes sobre los factores desencadenantes ambientales u otros factores de riesgo aún por identificar.

No existe cura para la demencia fototemporal

Aunque actualmente no existe cura para la DFT, existen tratamientos que pueden ayudar a mitigar algunos de sus síntomas. La terapia del habla y la fisioterapia pueden ser beneficiosas en casos específicos, mientras que algunos pacientes pueden recibir medicamentos para abordar síntomas específicos, como la depresión o los problemas motores asociados con la enfermedad de Parkinson.

Sin embargo, la progresión de la DFT puede variar considerablemente de un individuo a otro, lo que dificulta las predicciones precisas sobre el curso de la enfermedad. Algunos pacientes experimentan una degeneración rápida, mientras que otros pueden experimentar una progresión más gradual durante varios años. Esta incertidumbre plantea desafíos significativos para los cuidadores y las familias, así como una carga emocional y financiera considerable.

Según la Asociación de Alzheimer, en los Estados Unidos, el costo promedio de cuidar a una persona con demencia puede ascender a $10,000 al año, lo que representa una carga significativa para muchas familias.

A medida que la conciencia pública sobre la DFT continúa creciendo, se espera que aumenten los esfuerzos de investigación y el apoyo para aquellos afectados por esta enfermedad debilitante. Sin embargo, queda mucho por hacer para comprender completamente sus complejas causas y encontrar tratamientos efectivos que puedan mejorar la calidad de vida de quienes viven con ella.

Sigue leyendo:

En esta nota

demencia
Contenido Patrocinado